Report of the Month: Idiopathic intracranial hypertension presenting with isolated unilateral facial nerve palsy
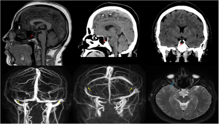
Idiopathic intracranial hypertension is a disorder characterized by increased intracranial pressure of unclear pathogenesis in the absence of other structural and obstructive lesions. It should be suspected in obese young women presenting with headache and transient visual complaints and some cranial nerve abnormalities. This report aims to draw attention to the possibility of idiopathic intracranial hypertension presenting with unilateral cranial nerve VII palsy as the only cranial nerve involved, which needs a high index of suspicion by clinicians. (Samara et al., 2019)


No hay comentarios:
Publicar un comentario