Report of the Month: Persistent response to vemurafenib in metastatic ameloblastoma with BRAF mutation
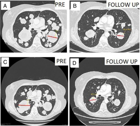
Ameloblastomas are uncommon locally aggressive tumors of odontogenic epithelium that rarely metastasize. Here, we report a case of a 33-year-old woman with ameloblastoma diagnosed 30 years ago who developed asymptomatic lung metastasis 19 years ago. Although cases of disseminated stage IV ameloblastoma are exceedingly rare, our observations suggest the possibility of introducing neoadjuvant or targeted therapy to improve outcomes and minimize functional and cosmetic morbidity. (Broudic-Guibert et al., 2019)


No hay comentarios:
Publicar un comentario